By using this site, you agree to the Privacy Policy and Terms of Use.
Accept
December 14, 2025 3:26 PM EST
Medical Herald
Search
  • Health Conditions
    Health ConditionsShow More
    Diet Drinks Linked to Increased Liver Disease Risk, Study Finds
    Health Conditions
    Experts Urge Rethink on Prediabetes Diagnosis and Treatment
    Diabetes
    Study Highlights Rising Heart Risks in Pregnant Women
    Pregnancy & Parenting
    ‘New Mom School’ Helps Women Through Postpartum Challenges
    Pregnancy & Parenting
    Beware of Counterfeit Weight Loss Drugs Sold Online
    Weight Management
  • Wellness & Self-Care
    Wellness & Self-CareShow More
    Aflac Survey Reveals Surge in Worker Burnout and Anxiety
    Mental Health
    Dr. Cassandra M. Klyman: A Distinguished Leader in Psychiatry, Psychoanalysis, and Mental Health Policy
    Mental Health
    Heart Health: Simple Daily Habits for Everyone
    Heart Health
    Introducing the Hormometer: Track Cortisol at Home
    Wellness & Self-Care
    First Responders Turn to Ketamine for Mental Health Relief
    Mental Health
  • Nutrition & Fitness
    Nutrition & FitnessShow More
    Fibermaxxing: The Rising Trend in Nutritional Focus
    Diet & Nutrition
    Gutzy Organic Launches Healthy Prebiotic Protein Smoothies
    Diet & Nutrition
    Achieve Your Nutrition Goals with Nourish and Insurance
    Nutrition & Fitness
    Delicious Roasted Salmon with Olives from Dan Pelosi
    Healthy Recipes
    Short Exercise Bursts: A New Trend in Fitness?
    Fitness
  • Innovation
    InnovationShow More
    Dr. Hosen Kiat: Advancing the Frontiers of Cardiovascular Science
    Innovation
    FDA Issues Warning for J&J and Legend’s Cancer Treatment Carvykti
    Drugs & Medications
    GLP-1 Medications Transform Health and Household Budgets
    Drugs & Medications
    Drug Tied to Fatal Crashes and Risks of Weight-Loss Pills
    Drugs & Medications
    GLP-1 Medications Like Ozempic May Affect Medical Scan Results
    Drugs & Medications
  • News
    NewsShow More
    New Leadership at Parenting Resource Center in Austin
    News
    Advances in Nigeria’s Real-Time NTD Treatment Reporting System
    News
    WIC Program Secures $300M Amid Government Shutdown Concerns
    News
    Guy Benson Shares Early Cancer Diagnosis and Encourages Skin Checks
    News Skin Care
    Congress Stalemate Threatens Health Insurance for Millions
    News
Font ResizerAa
Medical HeraldMedical Herald
  • Health Conditions
  • Wellness & Self-Care
  • Nutrition & Fitness
  • Innovation
  • News
Search
  • Health Conditions
  • Wellness & Self-Care
  • Nutrition & Fitness
  • Innovation
  • News
Follow US
Copyright © 2025, Medical Herald. All Rights Reserved.
Home » Health Conditions » New Insights into Tuberculosis and Macrophage Interactions

New Insights into Tuberculosis and Macrophage Interactions

By Grace Feldman
Published: October 9, 2025
Share

Pulmonary tuberculosis (PTB) accounts for roughly 85% of the global disease burden caused by Mycobacterium tuberculosis (Mtb), and understanding its mechanisms is vital for improving prevention and treatment outcomes. In a recent study using a mouse model, researchers sought to unravel how lung-specific environments can promote Mtb survival and replication, highlighting the complex interactions between dysplastic macrophages and lung tissue.

Despite the presence of a robust systemic immune response, certain immunocompetent individuals fail to contain Mtb, leading to active pulmonary disease characterized by cavitary lesions from which infectious aerosols can be transmitted. This study focused on the extended repercussions of primary lung lesions, particularly in B6.Sst1S mice — a strain susceptible to tuberculosis due to genetic factors — following hematogenous spread from primary lesions.

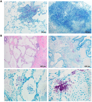
Initially, secondary lung lesions appear to exhibit localized immune responses, with organized tertiary lymphoid follicles akin to those in resistant B6 mice. These early lesions predominantly house non-replicating bacilli, indicating a temporary containment of the bacteria. However, as the disease progresses, notable changes occur, including an increase in myeloid cell populations, differentiation of macrophages, dissolution of lymphoid structures, and the emergence of dysplastic lung epithelial cells. This cascade of events culminates in the development of necrosuppurative pneumonia, mirroring the advanced stages of pulmonary tuberculosis observed in human patients.

The research team conducted fluorescence multiplex immunohistochemistry and spatial transcriptomic analyses on the divergent TB lesions that develop in these susceptible mice. The findings revealed that the inflammation-injured lung and aberrantly activated macrophages actively contribute to the detrimental local microenvironment conducive to the virulent Mtb.

A critical component of this understanding centers around the implications of lung tissue and its cellular composition. When fragments of lung and spleen tissues were implanted subcutaneously prior to infection, the lung implants retained the ability to form organized granulomas with necrosis and Mtb replication, thus showing that the lung’s cellular makeup — rather than oxygen levels — dictates PTB progression.

Additionally, the results indicate that significant interactions between activated macrophages and compromised lung resident cells contribute to the susceptibility of immunocompetent hosts to TB. This insight suggests that these interactions — which appear to be evolutionarily conserved — could serve as potential targets for host-directed therapies aimed at tuberculosis.

The investigation also noted that approximately 5-10% of individuals infected with Mtb would develop active TB later in life, particularly following primary infections acquired during childhood. These findings underscore a need for further research to understand why specific immune responses fail in lung environments and how this variation impacts TB transmission.

The importance of the mice model used is noteworthy, as it enables scientists to mimic the human disease without the need to directly infect the lungs through aerosolized bacteria, which is the usual method in experimental studies.

In conclusion, the study suggests a nuanced understanding of pulmonary TB progression, demonstrating how dysregulated macrophage activation and the maladaptive repair process in lung tissue can create an environment conducive to Mtb replication. Such findings hold promise for developing more effective therapeutic strategies aimed at mitigating tuberculosis pathogenesis and spread.

The conclusions from this study were detailed in the paper ‘Dysplastic lung repair fosters a tuberculosis-promoting microenvironment through maladaptive macrophage polarization,’ published in PLoS Pathogens by Yabaji et al. This work received funding from the National Institutes of Health and emphasizes the collaborative necessity for targeted interventions in the fight against TB.Diseases & Conditions

TAGGED:Tuberculosis
Share This Article
Facebook LinkedIn Email Copy Link
Leave a Comment

Leave a Reply Cancel reply

Your email address will not be published. Required fields are marked *

HOT NEWS

Aflac Survey Reveals Surge in Worker Burnout and Anxiety

December 4, 2025

New Leadership at Parenting Resource Center in Austin

Crystal Vandevender joins PRC Austin as executive director, bringing strong leadership and a renewed vision…

December 4, 2025

Dr. Cassandra M. Klyman: A Distinguished Leader in Psychiatry, Psychoanalysis, and Mental Health Policy

Dr. Cassandra M. Klyman’s influential career spans psychiatry, psychoanalysis, education, and mental health policy, shaping…

November 28, 2025

Dr. Hosen Kiat: Advancing the Frontiers of Cardiovascular Science

Dr. Hosen Kiat, a leading cardiologist and researcher, is redefining heart care through innovation in…

November 11, 2025

YOU MAY ALSO LIKE

Heart Failure Diagnosis Hits Black Americans 14 Years Earlier

New research shows a stark “heart gap”: Black patients face heart failure nearly 14 years earlier. Experts urge better screening,…

October 8, 2025

Celebrities Speak Out on Ozempic and Weight Loss

Lizzo, Nick Carter, Kathy Bates, and others share their experiences with Ozempic, revealing the emotional and physical realities behind weight…

October 9, 2025

Florence Welch Shares Journey Through Ectopic Pregnancy

Florence Welch reveals her near-fatal ectopic pregnancy and how the trauma shaped her new album Everybody Scream, releasing this Halloween.

October 1, 2025

Reevaluating Hormone Therapy for Breast Cancer Survivors

Emerging studies reveal hormone therapy could be safe for select breast cancer survivors, prompting a major shift in post-treatment menopause…

October 10, 2025

Medical Herald is your trusted source for medical news, scientific research, health policy updates, and expert insights from around the world. 

Category

  • Health Conditions
  • Wellness & Self-Care
  • Nutrition & Fitness
  • Innovation
  • News
  • Privacy Policy
  • About Us
  • Contact

Follow US: 

  • Grow Big Agency Sites:
  • London Business Journal
Copyright © 2025, Medical Herald. All Rights Reserved.
Welcome Back!

Sign in to your account

Username or Email Address
Password

Lost your password?